Skip to main content Skip to page footer
469 Treffer:
Suchergebnisse 321 bis 330 von 469
321. 1st Heidelberg Fellows Day on Clinical Cancer Research 2021  
Datum: 2021-07-08
Fellows Day on Clinical Cancer Research 2021 Der erste Heidelberg Fellows Day on Clinical Cancer Research fand am Montag, den 05. Juli 2021 als virtuelle Netzwerkveranstaltung via Zoom statt. Die Veranstaltung unter dem Motto “Exchange,  
322. Über 7.000 Läufer beim 10. NCT-Lauf gegen Krebs  
Datum: 2021-07-06
… auch über 300 Teams haben sich…  
323. Neuer Ambulanzbereich der Thoraxklinik Heidelberg offiziell eröffnet  
Datum: 2021-06-16
Nach dem Umbau liegen nun alle Ambulanzbereiche der Thoraxklinik räumlich näher beieinander und die verschiedenen Spezialambulanzen für Patienten mit komplexen Lungenerkrankungen sind organisatorisch eng aufeinander abgestimmt. (Quelle: UKHD)) Pressemitteilung des Universitätsklinikums Heidelberg (UKHD)  
324. DKFZ/NCT/DKTK-MASTER-Studie: Molekulare Analyse unterstützt Therapieentscheidung bei seltenen Krebserkrankungen  
Datum: 2021-06-10
Gemeinsame Pressemitteilung des NCT Heidelberg und des NCT/UCC Dresden  
325. Leukämieforschung: Wichtige genetische Schaltstelle für die frühe Blutbildung entschlüsselt  
Datum: 2021-06-07
Leukämie Gemeinsame Pressemitteilung des NCT/UCC Dresden und des NCT Heidelberg  
326. NCT Beratungsdienste: Beraten und informieren – begleiten und unterstützen  
Datum: 2021-05-28
… auch die Teams der…  
327. NCT-Mitarbeiter gründen neue internationale Fachzeitschrift  
Datum: 2021-04-29
Dr. Nektarios A. Valous (NCT Heidelberg, DKFZ), Dr. Inka Zörnig (NCT Heidelberg, UKHD) und Dr. Niels Halama (NCT Heidelberg, DKFZ) sind Gründungsherausgeber des Fachjournals  
328. Projekt CCE-DART – die nächste Generation klinischer Studien  
Datum: 2021-04-26
… Medicine Team, Manchester,…  
329. Vom Gen zur Therapie: Personalisierte Behandlung für Brustkrebspatientinnen  
Datum: 2021-04-22
Die molekulare Diagnostik soll dabei helfen, präzisere Behandlungsformen für Krebspatienten zu finden. Wissenschaftler und Ärzte am Nationalen Centrum für Tumorerkrankungen (NCT) Heidelberg, des  
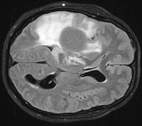
330. Impfung gegen mutiertes Protein erstmals bei Hirntumor-Patienten geprüft  
Datum: 2021-03-25
MRT-Aufnahme eines diffusen Glioms (oben) © Universitätsmedizin Mannheim Gemeinsame Pressemitteilung des Deutschen Krebsforschungszentrums (DKFZ), der Universitätsmedizin Mannheim, des Universitätsklinikums Heidelberg und des Nationalen Centrums für Tumorerkrankungen  
Suchergebnisse 321 bis 330 von 469