Skip to main content Skip to page footer
469 Treffer:
Suchergebnisse 381 bis 390 von 469
381. NCT-Lauf 2019: Überwältigendes Engagement für die Krebsforschung am NCT Heidelberg  
Datum: 2019-07-08
… Über 450 Teams unterstützen…  
382. Benefizregatta „Rudern gegen Krebs“ in Heidelberg feiert am 7. September 10-jähriges Jubiläum – Anmeldung geöffnet  
Datum: 2019-06-19
… als Viererteams. Die…  
383. Magen- und Darmkrebs: Geeignete Patienten für eine Immuntherapie mit künstlicher Intelligenz frühzeitig identifizieren  
Datum: 2019-06-04
Gemeinsame Pressemitteilung der Uniklinik RWTH Aachen und des NCT Heidelberg.  
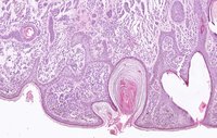
384. Hautkrebs: Algorithmus kann den Pathologen bei der Diagnose unterstützen  
Datum: 2019-05-23
Künstliche Intelligenz gewinnt in der Medizin zunehmend an Bedeutung: Maschinen werden mit Informationen gefüttert und trainieren so einen Algorithmus, um große Datenmengen und medizinische Bilder zu  
385. Doktoranden am NCT: Hier kommt niemand als Einzelkämpfer zum Ziel  
Datum: 2019-05-08
… im Team von Professor…  
386. Ihre Spende wirkt: Weichgewebesarkom – Therapieansprechen vorhersagen und Resistenzmechanismen erklären  
Datum: 2019-04-22
… Das Team um Dr. Heilig…  
387. Künstliche Intelligenz schlägt Hautärzte bei der Diagnose von schwarzem Hautkrebs  
Datum: 2019-04-11
Wissenschaftler des Deutschen Krebsforschungszentrums (DKFZ), der Universitäts-Hautklinik und des Nationalen Centrums für Tumorerkrankungen (NCT) Heidelberg haben einen Algorithmus programmiert, der  
388. Zielgerichteter Therapieansatz für seltene Knochenkrebsart  
Datum: 2019-04-09
… das Team elf…  
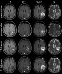
389. Künstliche Intelligenz hilft, Therapieansprechen von Hirntumoren besser zu beurteilen  
Datum: 2019-04-03
Gemeinsame Pressemitteilung des Deutschen Krebsforschungszentrums (DKFZ) und des Universitätsklinikums Heidelberg (UKHD)  
390. Patientenschulungen: Neue Termine 2019  
Datum: 2019-03-20
… wir? Unser Team besteht aus…  
Suchergebnisse 381 bis 390 von 469