Künstliche Intelligenz hilft, Therapieansprechen von Hirntumoren besser zu beurteilen

Gemeinsame Pressemitteilung des Deutschen Krebsforschungszentrums (DKFZ) und des Universitätsklinikums Heidelberg (UKHD)
Ein Team vom Universitätsklinikum Heidelberg (UKHD) und vom Deutschen Krebsforschungszentrum (DKFZ) hat ein neues Verfahren zur automatisierten Bild-Analyse von Hirntumoren entwickelt. In ihrer aktuellen Arbeit zeigen die Autoren, dass anhand von Standard-Magnetresonanztomographien (MRT) sorgfältig trainierte maschinelle Lernverfahren das Therapieansprechen bei Hirntumoren verlässlicher und präziser wiedergeben als etablierte radiologische Verfahren – und damit einen wertvollen Beitrag zu einer individuell angepassten Behandlung der Tumoren liefern. Darüber hinaus ist das validierte Verfahren ein wichtiger erster Schritt zur automatisierten Hochdurchsatzanalyse medizinischer Bilddaten von Hirntumoren.
Gliome sind die häufigsten und bösartigsten Hirntumoren bei Erwachsenen. In Deutschland erkranken jährlich ca. 4.500 Menschen an einem Gliom. Die Tumoren lassen sich durch eine Operation häufig nicht vollständig entfernen. Chemo- oder Strahlentherapie sind nur begrenzt wirksam, da der Tumor eine hohe Widerstandskraft besitzt. Neue und präzise validierte Behandlungsansätze werden daher dringend benötigt.
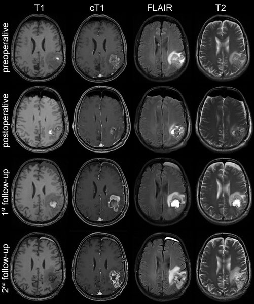
Eines der wesentlichen Kriterien zur präzisen Beurteilung der Wirksamkeit einer neuen Therapie bei Hirntumoren ist die Wachstumsdynamik, die über MRT-Bildgebung ermittelt wird. Doch das manuelle Messen der Tumorausdehnung in zwei Ebenen in den kontrastverstärkten MRT-Aufnahmen ist fehleranfällig und führt leicht zu abweichenden Ergebnissen. „Das kann die Beurteilung des Therapieansprechens und in der Folge die Reproduzierbarkeit und Präzision von wissenschaftlichen Aussagen, die auf Bildgebung beruhen, negativ beeinflussen“, erklärt Martin Bendszus, Ärztlicher Direktor der Abteilung Neuroradiologie am Universitätsklinikum Heidelberg.
Ärzte und Wissenschaftler vom Universitätsklinikum Heidelberg und vom Deutschen Krebsforschungszentrum beschreiben in ihrer aktuellen Arbeit das große Potenzial von maschinellen Lernverfahren in der radiologischen Diagnostik. Das Team hat neuronale Netzwerke entwickelt, um computerbasiert das Therapieansprechen von Hirntumoren in der MRT standardisiert und vollautomatisch zu beurteilen und klinisch zu validieren. Für diese Arbeit kooperierte ein Team um Philipp Kickingereder aus der Abteilung Neuroradiologie am Universitätsklinikum Heidelberg mit den Forschern der Abteilung Medizinische Bildverarbeitung am Deutschen Krebsforschungszentrum unter der Leitung von Klaus Maier-Hein sowie mit Kollegen vom Nationalen Centrum für Tumorerkrankungen (NCT) und von der Neurologischen Klinik des Universitätsklinikums Heidelberg unter der Leitung von Wolfgang Wick.
Anhand einer Referenzdatenbank mit MRT-Untersuchungen von knapp 500 Hirntumorpatienten des Universitätsklinikums Heidelberg erlernten die Algorithmen unter dem Einsatz künstlicher neuronaler Netzwerke die Hirntumoren automatisch zu erkennen und zu lokalisieren. Außerdem wurden die Algorithmen darauf trainiert, die einzelnen Bereiche (kontrastmittelaufnehmender Tumoranteil, peritumorales Ödem) volumetrisch zu vermessen und das Therapieansprechen präzise zu beurteilen.
Die Ergebnisse wurden in Kooperation mit der European Organisation for Research and Treatment of Cancer (EORTC) umfassend validiert. „Die Auswertung von über 2.000 MRT-Untersuchungen von 534 Glioblastom-Patienten aus ganz Europa zeigt, dass unser computerbasierter Ansatz eine zuverlässigere Beurteilung des Therapieansprechens ermöglicht, als es mit der herkömmlichen Methode der manuellen Messung möglich wäre. Wir konnten die Verlässlichkeit der Beurteilung um 36 Prozent verbessern. Das kann für die auf Bildgebung basierende Beurteilung der Wirksamkeit einer Therapie in klinischen Studien von entscheidender Bedeutung sein. Auch die Vorhersage des Gesamtüberlebens war mit unserem neuen Verfahren exakter möglich“, erklärt Kickingereder.
Die vielversprechende Technik zur standardisierten und vollautomatischen Beurteilung des Therapieansprechens von Hirntumoren soll möglichst rasch in klinischen Studien und zukünftig auch in der klinischen Routine eingesetzt werden. Dazu konzipierten und evaluierten die Forscher zusätzlich eine Softwareinfrastruktur, die eine vollständige Integration der Entwicklung in bestehende radiologische Infrastruktur ermöglicht. „Damit schaffen wir die Voraussetzungen für einen breiten Einsatz und eine vollautomatisierte Verarbeitung und Analyse von MRT-Untersuchungen bei Hirntumoren innerhalb weniger Minuten“, erläutert Klaus Maier-Hein.
Derzeit wird die neue Technologie am NCT Heidelberg erneut evaluiert, als Teilaspekt einer klinischen Studie zur besseren Behandlung von Glioblastompatienten. „Für Präzisionstherapien ist eine standardisierte und verlässliche Beurteilung der Effektivität der neuen Behandlungsansätze von herausragender Bedeutung. Hier kann die von uns entwickelte Technologie möglicherweise einen entscheidenden Beitrag leisten“, erklärt Wolfgang Wick.
„Wir konnten mit dieser Arbeit das große Potenzial von künstlichen neuronalen Netzwerken in der radiologischen Diagnostik belegen“, fasst Philipp Kickingereder zusammen. „In Zukunft wollen wir die Technologie zur automatisierten Hochdurchsatzanalyse von medizinischen Bilddaten weiter voranbringen und sie neben dem Einsatz bei Hirntumoren auch auf andere Krankheiten wie z.B. Hirnmetastasen oder multiple Sklerose übertragen“, ergänzt Klaus Maier-Hein.
Kickingereder P, Isensee F, Tursunova I, Petersen J, Neuberger U, Bonekamp D, Brugnara G, Schell M, Kessler T, Foltyn M, Harting I, Sahm F, Prager M, Nowosielski M, Wick A, Nolden M, Radbruch A, Debus J, Schlemmer HP, Heiland S, Platten M, von Deimling A, van den Bent MJ, Gorlia T, Wick W, Bendszus M, Maier-Hein KH. Automated quantitative tumor response assessment of MRI in neuro-oncology with artificial neural networks: a multicenter, retrospective study. Lancet Oncology 2019, DOI: 10.1016/S1470-2045(19)30098-1
Deutsches Krebsforschungszentrum (DKFZ)
Das Deutsche Krebsforschungszentrum (DKFZ) ist mit mehr als 3.000 Mitarbeiterinnen und Mitarbeitern die größte biomedizinische Forschungseinrichtung in Deutschland. Über 1.000 Wissenschaftlerinnen und Wissenschaftler erforschen im DKFZ, wie Krebs entsteht, erfassen Krebsrisikofaktoren und suchen nach neuen Strategien, die verhindern, dass Menschen an Krebs erkranken. Sie entwickeln neue Methoden, mit denen Tumoren präziser diagnostiziert und Krebspatienten erfolgreicher behandelt werden können. Die Mitarbeiterinnen und Mitarbeiter des Krebsinformationsdienstes (KID) klären Betroffene, interessierte Bürger und Fachkreise über die Volkskrankheit Krebs auf. Gemeinsam mit dem Universitätsklinikum Heidelberg hat das DKFZ das Nationale Centrum für Tumorerkrankungen (NCT) Heidelberg eingerichtet, in dem vielversprechende Ansätze aus der Krebsforschung in die Klinik übertragen werden. Im Deutschen Konsortium für Translationale Krebsforschung (DKTK), einem der sechs Deutschen Zentren für Gesundheitsforschung, unterhält das DKFZ Translationszentren an sieben universitären Partnerstandorten. Die Verbindung von exzellenter Hochschulmedizin mit der hochkarätigen Forschung eines Helmholtz-Zentrums ist ein wichtiger Beitrag, um die Chancen von Krebspatienten zu verbessern. Das DKFZ wird zu 90 Prozent vom Bundesministerium für Bildung und Forschung und zu 10 Prozent vom Land Baden-Württemberg finanziert und ist Mitglied in der Helmholtz-Gemeinschaft Deutscher Forschungszentren.
Ansprechpartner für die Presse:
Dr. Sibylle Kohlstädt
Pressesprecherin
Kommunikation und Marketing
Deutsches Krebsforschungszentrum
Im Neuenheimer Feld 280
69120 Heidelberg
T: +49 6221 42 2843
F: +49 6221 42 2968
E-Mail: S.Kohlstaedt(at)dkfz.de
E-Mail: presse@dkfz.de
www.dkfz.de