Hautkrebs: Algorithmus kann den Pathologen bei der Diagnose unterstützen

Künstliche Intelligenz gewinnt in der Medizin zunehmend an Bedeutung: Maschinen werden mit Informationen gefüttert und trainieren so einen Algorithmus, um große Datenmengen und medizinische Bilder zu analysieren. Auf diese Weise lassen sich beispielsweise Krebszellen automatisiert erkennen. Heidelberger Wissenschaftlern des Deutschen Krebsforschungszentrums (DKFZ), der Universitäts-Hautklinik und des Nationalen Centrums für Tumorerkrankungen (NCT) Heidelberg haben nun erstmalig demonstriert, dass künstliche Intelligenz das Potential hat, die Genauigkeit der Diagnostik von Hautkrebs an Gewebeschnitten zu verbessern.
Der schwarze Hautkrebs, das sogenannte maligne Melanom, ist für den Großteil der Hautkrebs-bedingten Todesfälle verantwortlich. Nach wie vor stellt bei Verdacht auf schwarzen Hautkrebs die Untersuchung einer Gewebeprobe den Goldstandard in der Diagnostik dar. Die Proben werden so gefärbt, dass sich verschiedene Gewebestrukturen im mikroskopischen Bild unterscheiden lassen. Das ermöglicht es dem erfahrenen Pathologen zu entscheiden, ob es sich um ein Melanom handeln könnte oder nicht.
Internationale Studien zeigen, dass zwei Pathologen bei der Entscheidung, ob es sich um ein gutartiges Muttermal oder einen schwarzen Hautkrebs handelt, in bis zu 26 Prozent der Fälle zu unterschiedlichen Ergebnissen gelangen. Heidelberger Wissenschaftler und Ärzte haben nun die diagnostische Qualität eines lernfähigen Algorithmus mit der Leistung von Pathologen verglichen. Für diese Untersuchung stellte das Institut für DermatoHistoPathologie Dr. Krahl in Heidelberg Proben zur Verfügung: Die 345 mit Melanom- und 350 mit Muttermalbiopsien beladenen anonymisierten Objektträger waren zuvor nach Leitlinie durch einen erfahrenen Pathologen klassifiziert worden. Anschließend wurden zufällig ausgewählte Bildausschnitte von 595 der 695 Objektträger für das Training des Algorithmus eingesetzt. Die übrigen 100 Bildausschnitte – 50 Melanom versus 50 Muttermale – wurden verwendet, um die diagnostische Qualität des lernfähigen Algorithmus gegenüber dem Pathologen zu testen.
Das Ergebnis: Zum Teil irrte sich die künstliche Intelligenz genauso häufig wie die Pathologen. Im Regelfall traf der Computer aber mehr richtige Entscheidungen und das in weniger als jeweils einer Sekunde.
„Unsere Studie zeigt, dass künstliche Intelligenz ein großes Potential hat, die diagnostische Genauigkeit bei Hautkrebs zu verbessern“, kommentiert Jochen Sven Utikal, Leiter der klinischen Kooperationseinheit für Dermato-Onkologie am DKFZ die Ergebnisse. „Die künstliche Intelligenz kann Pathologen nicht ersetzen, aber unterstützen. Das Potential sehen wir derzeit vor allem in der Form von Assistenzsystemen, die frühzeitig Alarm schlagen, wenn bei einer Probe Hautkrebsverdacht besteht, sodass weitere Färbungen angefordert werden können. Hierzu bedarf es jedoch prospektiver klinischer Studien“, betont Alexander Enk, Direktor der Universitäts-Hautklinik am UKHD.
Studienleiter Titus Brinker, Assistenzarzt an der Universitäts-Hautklinik und Leiter des Skin-Classification-Projekts am NCT und DKFZ Heidelberg, sieht die Attraktivität einer künstlichen Intelligenz in der Pathologie auch in der Neuartigkeit des Diagnoseprozesses: „Ein trainierter Algorithmus entscheidet anders als ein Mensch: Er erkennt subvisuelle Muster auf Pixelebene und lässt sich, anders als das menschliche Auge, von optischen Täuschungen weniger beeinflussen. Dieser zusätzliche digitale Blickwinkel auf den Objektträger wird Pathologen dabei unterstützen, Hautkrebs noch präziser zu diagnostizieren.“
Doch auch, wenn die vergleichende Untersuchung von künstlicher Intelligenz versus menschlicher Leistung eine zukunftsweisende Perspektive für die Histopathologie des schwarzen Hautkrebses eröffnet, ist bis zu einer erfolgreichen klinischen Implementierung noch viel Forschungsarbeit notwendig.
Originalpublikation
Achim Hekler, Jochen S Utikal, Alexander H Enk, Carola Berking, Joachim Klode, Dirk Schadendorf, Philipp Jansen, Cindy Franklin, Tim Holland-Letz; Dieter Krahl, Christof von Kalle, Stefan Fröhling, Titus Josef Brinker (2019) Pathologist-level classification of histopathological melanoma images with deep neural networks. European Journal Of Cancer, https://doi.org/10.1016/j.ejca.2019.04.021
Bild zur Pressemitteilung steht im Internet kostenfrei zur Verfügung unter:
https://preview.nct-heidelberg.de/fileadmin/media/nct-heidelberg/news/Meldungen/Bilder/Magn10fach.jpg
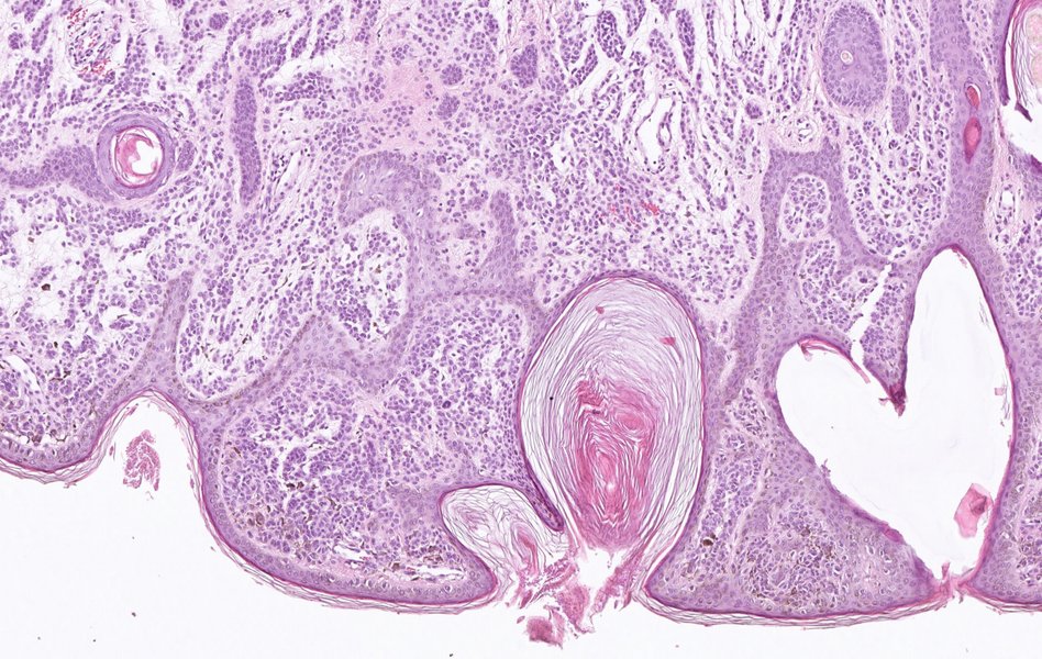
BU: Histopathologisches Präparat eines gutartigen Muttermals (Nävus)
Nutzungshinweis für Bildmaterial zu Pressemitteilungen
Die Nutzung ist kostenlos. Das NCT Heidelberg gestattet die einmalige Verwendung in Zusammenhang mit der Berichterstattung über das Thema der Pressemitteilung. Bitte geben Sie als Bildnachweis an: NCT Heidelberg / Titus Brinker. Eine Weitergabe des Bildmaterials an Dritte ist nur nach vorheriger Rücksprache mit der NCT-Pressestelle (Tel. 06221 56 5930, E-Mail: friederike.fellenberg(at)nct-heidelberg.de) gestattet. Eine Nutzung zu kommerziellen Zwecken ist untersagt.
Ansprechpartner für die Presse:
Dr. Friederike Fellenberg
Nationales Centrum für Tumorerkrankungen (NCT) Heidelberg
Presse- und Öffentlichkeitsarbeit
Im Neuenheimer Feld 460
69120 Heidelberg
Tel.: +49 6221 56-5930
Fax: +49 6221 56-5350
E-Mail: friederike.fellenberg(at)nct-heidelberg.de
preview.nct-heidelberg.de
Dr. Sibylle Kohlstädt
Deutsches Krebsforschungszentrum (DKFZ)
Kommunikation und Marketing
Deutsches Krebsforschungszentrum
Im Neuenheimer Feld 280
69120 Heidelberg
Tel.: +49 6221 42-2843
Fax: +49 6221 42-2968
E-Mail: s.kohlstaedt(at)dkfz.de
www.dkfz.de
Doris Rübsam-Brodkorb
Universitätsklinikum Heidelberg und Medizinische Fakultät der Universität Heidelberg
Presse- und Öffentlichkeitsarbeit
Im Neuenheimer Feld 672
69120 Heidelberg
Tel.: +49 6221 56-5052
Fax: +49 6221 56-4544
E-Mail: doris.ruebsam-brodkorb(at)med.uni-heidelberg.de
www.klinikum.uni-heidelberg.de
Nationales Centrum für Tumorerkrankungen (NCT) Heidelberg
Das Nationale Centrum für Tumorerkrankungen (NCT) Heidelberg ist eine gemeinsame Einrichtung des Deutschen Krebsforschungszentrums (DKFZ), des Universitätsklinikums Heidelberg (UKHD), der Medizinischen Fakultät der Universität Heidelberg und der Deutschen Krebshilfe. Ziel des NCT ist es, vielversprechende Ansätze aus der Krebsforschung möglichst schnell in die Klinik zu übertragen und damit den Patienten zugutekommen zu lassen. Dies gilt sowohl für die Diagnose als auch die Behandlung, in der Nachsorge oder der Prävention. Die Tumorambulanz ist das Herzstück des NCT. Hier profitieren die Patienten von einem individuellen Therapieplan, den fachübergreifende Expertenrunden, die sogenannten Tumorboards, erstellen. Die Teilnahme an klinischen Studien eröffnet den Zugang zu innovativen Therapien. Das NCT ist somit eine richtungsweisende Plattform zur Übertragung neuer Forschungsergebnisse aus dem Labor in die Klinik. Das NCT kooperiert mit Selbsthilfegruppen und unterstützt diese in ihrer Arbeit. Seit 2015 hat das NCT Heidelberg in Dresden einen Partnerstandort. In Heidelberg wurde 2017 das Hopp-Kindertumorzentrum (KiTZ) gegründet. Die Kinderonkologen am KiTZ arbeiten in gemeinsamen Strukturen mit dem NCT Heidelberg zusammen.
Deutsches Krebsforschungszentrum (DKFZ)
Das Deutsche Krebsforschungszentrum (DKFZ) ist mit mehr als 3.000 Mitarbeiterinnen und Mitarbeitern die größte biomedizinische Forschungseinrichtung in Deutschland. Über 1000 Wissenschaftlerinnen und Wissenschaftler erforschen im DKFZ, wie Krebs entsteht, erfassen Krebsrisikofaktoren und suchen nach neuen Strategien, die verhindern, dass Menschen an Krebs erkranken. Sie entwickeln neue Methoden, mit denen Tumoren präziser diagnostiziert und Krebspatienten erfolgreicher behandelt werden können.
Die Mitarbeiterinnen und Mitarbeiter des Krebsinformationsdienstes (KID) klären Betroffene, Angehörige und interessierte Bürger über die Volkskrankheit Krebs auf. Gemeinsam mit dem Universitätsklinikum Heidelberg hat das DKFZ das Nationale Centrum für Tumorerkrankungen (NCT) Heidelberg eingerichtet, in dem vielversprechende Ansätze aus der Krebsforschung in die Klinik übertragen werden.
Im Deutschen Konsortium für Translationale Krebsforschung (DKTK), einem der sechs Deutschen Zentren für Gesundheitsforschung, unterhält das DKFZ Translationszentren an sieben universitären Partnerstandorten. Die Verbindung von exzellenter Hochschulmedizin mit der hochkarätigen Forschung eines Helmholtz-Zentrums ist ein wichtiger Beitrag, um die Chancen von Krebspatienten zu verbessern. Das DKFZ wird zu 90 Prozent vom Bundesministerium für Bildung und Forschung und zu 10 Prozent vom Land Baden-Württemberg finanziert und ist Mitglied in der Helmholtz-Gemeinschaft deutscher Forschungszentren.
Universitätsklinikum Heidelberg
Das Universitätsklinikum Heidelberg (UKHD) ist eines der bedeutendsten medizinischen Zentren in Deutschland; die Medizinische Fakultät der Universität Heidelberg zählt zu den international renommierten biomedizinischen Forschungseinrichtungen in Europa. Gemeinsames Ziel ist die Entwicklung innovativer Diagnostik und Therapien sowie ihre rasche Umsetzung für den Patienten. Klinikum und Fakultät beschäftigen rund 13.000 Mitarbeiterinnen und Mitarbeiter und engagieren sich in Ausbildung und Qualifizierung. In mehr als 50 klinischen Fachabteilungen mit fast 2.000 Betten werden jährlich rund 65.000 Patienten vollstationär, 56.000 mal Patienten teilstationär und mehr als 1.000.000 mal Patienten ambulant behandelt. Gemeinsam mit dem Deutschen Krebsforschungszentrum und der Deutschen Krebshilfe hat das Universitätsklinikum Heidelberg das Nationale Centrum für Tumorerkrankungen (NCT) Heidelberg etabliert, das führende onkologische Spitzenzentrum in Deutschland. Das Heidelberger Curriculum Medicinale (HeiCuMed) steht an der Spitze der medizinischen Ausbildungsgänge in Deutschland. Derzeit studieren ca. 3.700 angehende Ärztinnen und Ärzte in Heidelberg.