Zielgerichteter Therapieansatz für seltene Knochenkrebsart

Chordome sind seltene Knochentumoren, die nur schlecht behandelt werden können. Wissenschaftler und Ärzte vom Nationalen Centrum für Tumorerkrankungen (NCT), Deutschen Krebsforschungszentrum (DKFZ) und Universitätsklinikum Heidelberg (UKHD) konnten mittels einer Genanalyse ein besonderes genetisches Merkmal von Chordomen im fortgeschrittenen Stadium aufdecken. Ihre im Fachblatt Nature Communications veröffentlichten Ergebnisse deuten darauf hin, dass eine Gruppe von Arzneistoffen, die bereits bei der Behandlung anderer Krebsarten zugelassen ist, auch gegen Chordome wirksam sein könnte.
Nationales Centrum für Tumorerkrankungen (NCT) Heidelberg, eine gemeinsame Einrichtung des Deutschen Krebsforschungszentrums (DKFZ), des Universitätsklinikums Heidelberg (UKHD) und der Deutschen Krebshilfe.
Chordome sind sehr seltene Tumoren der Wirbelsäule. Sie machen ungefähr ein Prozent aller Knochentumoren aus. Sie zählen zwar zur Klasse der Knochentumoren, entstehen allerdings nicht aus Knochengewebe, sondern aus Resten der so genannten Chorda dorsalis. Bei allen Wirbeltieren wird die Chorda dorsalis embryonal angelegt und im Laufe der Embryonalentwicklung bis auf Rudimente von der Wirbelsäule ersetzt. Üblicherweise treten Chordome jenseits des 30. Lebensjahres auf, wobei Männer und Frauen gleich häufig von dem Wirbelsäulentumor betroffen sind. Die Behandlung gestaltet sich oft schwierig, da Chordome in der Regel gegen eine konventionelle Chemotherapie resistent sind. Ärzte versuchen, das betroffene Gewebe chirurgisch zu entfernen, was allerdings oft nicht vollständig gelingt. Die Mehrheit der Betroffenen wird daher anschließend mit Strahlentherapie behandelt. In rund zwei Dritteln der Fälle kommt der Tumor jedoch zurück. Forscher suchen deshalb nach neuen Wegen und Ansätzen, um dieser Erkrankung beizukommen.
Wissenschaftler und Ärzte vom NCT Heidelberg, UKHD und DKFZ haben nun in Zusammenarbeit mit Kollegen der Standorte des Deutschen Konsortiums für Translationale Krebsforschung (DKTK) detaillierte Genanalysen der Tumorzellen von Chordom-Patienten durchgeführt. Die Arbeit fand im Rahmen des NCT/DKTK MASTER-(Molecularly Aided Stratification for Tumor Eradication)-Programms statt. Die Studie unter Leitung des Kommissarischen Geschäftsführenden Direktors am NCT Heidelberg Stefan Fröhling richtet sich vor allem an junge Patienten mit fortgeschrittenen Krebserkrankungen und Patienten mit sehr seltenen Tumoren (preview.nct-heidelberg.de/master).
Insgesamt untersuchte das Team elf Chordom-Patienten im fortgeschrittenen Stadium, bei denen die Standardtherapien bereits ausgeschöpft waren. Die Wissenschaftler sequenzierten das Erbgut der Krebszellen vollständig und entdeckten, dass fortgeschrittene Chordome bestimmte molekulare Veränderungen aufweisen, die mit einer gestörten DNA-Reparatur durch die so genannte homologe Rekombination (HR) verbunden sind.
Im Allgemeinen verwenden Zellen die HR, um schadhafte Stellen der DNA-Stränge zu reparieren. Es ist bekannt, dass auch bei anderen Krebszellarten die HR beeinträchtigt ist. Die Diagnose dieser fehlerhaften Funktion erfordert bestimmte Voraussetzungen. "Allerdings trafen nur bei drei der elf untersuchten Patienten diese klassischen Kriterien zu", berichtet Stefan Gröschel, Oberarzt am UKHD und Leiter der Arbeitsgruppe Molekulare Leukämogenese am DKFZ. "Bei Chordomen scheinen also offenbar weitere, noch unbekannte genetische Veränderungen zu einer Beeinträchtigung der HR zu führen."
Da sich bei anderen Krebsarten, bei denen ebenfalls ein HR-Defizit vorliegt, bestimmte Arzneistoffe als wirksame Medikamente erwiesen haben, lag es nahe, diese auch bei Chordom-Patienten als weitere Behandlungsoption einzusetzen. Die Ärzte führten bei einem Betroffenen mit passendem genetischem Profil eine experimentelle Behandlung mit einem so genannten PARP-Inhibitor durch. PARP-Inhibitoren hemmen das Enzym Poly-ADP-Ribose-Polymerase (PARP) und verhindern dadurch, dass Krebszellen Schäden an ihrer DNA, die etwa in Folge einer Chemotherapie auftreten, wieder reparieren können. Bei dem behandelten Patienten führte die Gabe eines PARP-Inhibitors zu einer langanhaltenden klinischen Verbesserung und einem Stillstand des Tumorwachstums. Nach erneutem Fortschreiten der Erkrankung bei demselben Patienten konnte das Team um Stefan Fröhling, Stefan Gröschel und Robert Russell vom BioQuant Heidelberg eine neuartige Resistenzmutation des PARP1-Enzyms identifizieren, welche die Wirkung des PARP-Inhibitors aufhob.
"Unsere Ergebnisse zeigen, wie die Suche nach neuen personalisierten Krebstherapien im klinischen Alltag funktionieren kann. Durch den Einsatz eines zugelassenen Medikaments, das bisher bei Chordomen noch nicht angewendet wurde, konnten wir für einen Patienten über einen Zeitraum von zehn Monaten eine verbesserte Erkrankungssituation erreichen. Und auch wenn die Erkrankung danach erneut fortgeschritten ist, hoffen wir, dass uns der neu entdeckte Resistenzmechanismus zukünftig helfen wird, Therapien besser zu planen und früher auf Veränderungen in der Wirksamkeit der Medikamente reagieren zu können", berichtet Fröhling.
Originalpublikation
Stefan Gröschel, Daniel Hübschmann, Francesco Raimondi, et al. (2019) Defective homologous recombination DNA repair as therapeutic target in advanced chordoma. Nature Communications, DOI: 10.1038/s41467-019-09633-9
Bild zur Pressemitteilung steht im Internet kostenfrei zur Verfügung unter:
https://preview.nct-heidelberg.de/fileadmin/media/nct-heidelberg/news/Meldungen/Bilder/NCT-PM_Nature_Comm.JPG
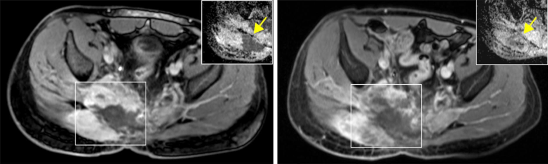
BU: links: Patient mit fortgeschrittenem Chordom; rechts: Stillstand des Tumorwachstums nach fünf Monaten Behandlung mit PARP-Inhibitor
Nutzungshinweis für Bildmaterial zu Pressemitteilungen
Die Nutzung ist kostenlos. Das NCT Heidelberg gestattet die einmalige Verwendung in Zusammenhang mit der Berichterstattung über das Thema der Pressemitteilung. Bitte geben Sie als Bildnachweis an: "NCT Heidelberg". Eine Weitergabe des Bildmaterials an Dritte ist nur nach vorheriger Rücksprache mit der NCT-Pressestelle (Tel. 06221 56 5930, E-Mail: friederike.fellenberg(at)nct-heidelberg.de) gestattet. Eine Nutzung zu kommerziellen Zwecken ist untersagt.
Ansprechpartner für die Presse:
Dr. Friederike Fellenberg
Nationales Centrum für Tumorerkrankungen (NCT) Heidelberg
Presse- und Öffentlichkeitsarbeit
Im Neuenheimer Feld 460
69120 Heidelberg
Tel.: +49 6221 56-5930
Fax: +49 6221 56-5350
E-Mail: friederike.fellenberg(at)nct-heidelberg.de
preview.nct-heidelberg.de
Dr. Sibylle Kohlstädt
Deutsches Krebsforschungszentrum (DKFZ)
Kommunikation und Marketing
Deutsches Krebsforschungszentrum
Im Neuenheimer Feld 280
69120 Heidelberg
Tel.: +49 6221 42-2843
Fax: +49 6221 42-2968
E-Mail: s.kohlstaedt(at)dkfz.de
www.dkfz.de
Doris Rübsam-Brodkorb
Universitätsklinikum Heidelberg und Medizinische Fakultät der Universität Heidelberg
Presse- und Öffentlichkeitsarbeit
Im Neuenheimer Feld 672
69120 Heidelberg
Tel.: +49 6221 56-5052
Fax: +49 6221 56-4544
E-Mail: doris.ruebsam-brodkorb(at)med.uni-heidelberg.de
www.klinikum.uni-heidelberg.de
Nationales Centrum für Tumorerkrankungen (NCT) Heidelberg
Das Nationale Centrum für Tumorerkrankungen (NCT) Heidelberg ist eine gemeinsame Einrichtung des Deutschen Krebsforschungszentrums (DKFZ), des Universitätsklinikums Heidelberg (UKHD), der Medizinischen Fakultät der Universität Heidelberg und der Deutschen Krebshilfe. Ziel des NCT ist es, vielversprechende Ansätze aus der Krebsforschung möglichst schnell in die Klinik zu übertragen und damit den Patienten zugutekommen zu lassen. Dies gilt sowohl für die Diagnose als auch die Behandlung, in der Nachsorge oder der Prävention. Die Tumorambulanz ist das Herzstück des NCT. Hier profitieren die Patienten von einem individuellen Therapieplan, den fachübergreifende Expertenrunden, die sogenannten Tumorboards, erstellen. Die Teilnahme an klinischen Studien eröffnet den Zugang zu innovativen Therapien. Das NCT ist somit eine richtungsweisende Plattform zur Übertragung neuer Forschungsergebnisse aus dem Labor in die Klinik. Das NCT kooperiert mit Selbsthilfegruppen und unterstützt diese in ihrer Arbeit. Seit 2015 hat das NCT Heidelberg in Dresden einen Partnerstandort. In Heidelberg wurde 2017 das Hopp-Kindertumorzentrum (KiTZ) gegründet. Die Kinderonkologen am KiTZ arbeiten in gemeinsamen Strukturen mit dem NCT Heidelberg zusammen.
Deutsches Krebsforschungszentrum (DKFZ)
Das Deutsche Krebsforschungszentrum (DKFZ) ist mit mehr als 3.000 Mitarbeiterinnen und Mitarbeitern die größte biomedizinische Forschungseinrichtung in Deutschland. Über 1000 Wissenschaftlerinnen und Wissenschaftler erforschen im DKFZ, wie Krebs entsteht, erfassen Krebsrisikofaktoren und suchen nach neuen Strategien, die verhindern, dass Menschen an Krebs erkranken. Sie entwickeln neue Methoden, mit denen Tumoren präziser diagnostiziert und Krebspatienten erfolgreicher behandelt werden können.
Die Mitarbeiterinnen und Mitarbeiter des Krebsinformationsdienstes (KID) klären Betroffene, Angehörige und interessierte Bürger über die Volkskrankheit Krebs auf. Gemeinsam mit dem Universitätsklinikum Heidelberg hat das DKFZ das Nationale Centrum für Tumorerkrankungen (NCT) Heidelberg eingerichtet, in dem vielversprechende Ansätze aus der Krebsforschung in die Klinik übertragen werden.
Im Deutschen Konsortium für Translationale Krebsforschung (DKTK), einem der sechs Deutschen Zentren für Gesundheitsforschung, unterhält das DKFZ Translationszentren an sieben universitären Partnerstandorten. Die Verbindung von exzellenter Hochschulmedizin mit der hochkarätigen Forschung eines Helmholtz-Zentrums ist ein wichtiger Beitrag, um die Chancen von Krebspatienten zu verbessern. Das DKFZ wird zu 90 Prozent vom Bundesministerium für Bildung und Forschung und zu 10 Prozent vom Land Baden-Württemberg finanziert und ist Mitglied in der Helmholtz-Gemeinschaft deutscher Forschungszentren.
Universitätsklinikum Heidelberg
Das Universitätsklinikum Heidelberg (UKHD) ist eines der bedeutendsten medizinischen Zentren in Deutschland; die Medizinische Fakultät der Universität Heidelberg zählt zu den international renommierten biomedizinischen Forschungseinrichtungen in Europa. Gemeinsames Ziel ist die Entwicklung innovativer Diagnostik und Therapien sowie ihre rasche Umsetzung für den Patienten. Klinikum und Fakultät beschäftigen rund 13.000 Mitarbeiterinnen und Mitarbeiter und engagieren sich in Ausbildung und Qualifizierung. In mehr als 50 klinischen Fachabteilungen mit fast 2.000 Betten werden jährlich rund 65.000 Patienten vollstationär, 56.000 mal Patienten teilstationär und mehr als 1.000.000 mal Patienten ambulant behandelt. Gemeinsam mit dem Deutschen Krebsforschungszentrum und der Deutschen Krebshilfe hat das Universitätsklinikum Heidelberg das Nationale Centrum für Tumorerkrankungen (NCT) Heidelberg etabliert, das führende onkologische Spitzenzentrum in Deutschland. Das Heidelberger Curriculum Medicinale (HeiCuMed) steht an der Spitze der medizinischen Ausbildungsgänge in Deutschland. Derzeit studieren ca. 3.700 angehende Ärztinnen und Ärzte in Heidelberg.