Skip to main content Skip to page footer
vom 10.04.2026

Molekulare Analysen könnten Behandlungschancen bei seltenem Weichteiltumor erhöhen

Der desmoplastische klein- und rundzellige Tumor ist selten, aggressiv und schwer zu behandeln. Forschende am Nationalen Centrum für Tumorerkrankungen (NCT) Heidelberg und am Deutschen Krebsforschungszentrum (DKFZ) haben 30 Tumoren umfassend analysiert und für fast alle Betroffenen potenzielle personalisierte Therapieoptionen abgeleitet. Bei einzelnen Patientinnen und Patienten konnten neue zielgerichtete Ansätze die Krankheit überraschend lange aufhalten.

Das Nationale Centrum für Tumorerkrankungen (NCT) Heidelberg ist eine gemeinsame Einrichtung des Deutschen Krebsforschungszentrums (DKFZ), des Universitätsklinikums Heidelberg (UKHD), der Medizinischen Fakultät Heidelberg der Universität Heidelberg und der Thoraxklinik Heidelberg.

Der desmoplastische klein- und rundzellige Tumor (DSRCT) ist ein sehr seltener, aggressiver Weichteiltumor, der vor allem bei jungen Männern auftritt. Weil er so selten ist, ist es sehr schwierig, für diese Krebsart klinische Studien durchzuführen. Die Behandlungsmöglichkeiten sind entsprechend begrenzt. Dieses Problem wird dadurch verstärkt, dass die Krebszellen beim DSRCT meistens nur wenige genetische Veränderungen aufweisen. Das verringert zum einen die Wahrscheinlichkeit, dass die Tumoren auf gängige Immuntherapien ansprechen. Zum anderen führt es dazu, dass nur bei wenigen Betroffenen die Tumoren klassische, mit zielgerichteten Therapien ansprechbare Veränderungen aufweisen. Außerdem ist die Diagnosestellung herausfordernd, sodass DSRCT häufig zunächst als andere Krebsarten eingeordnet werden. Die Prognose für Patientinnen und Patienten mit der Erkrankung ist schlecht: Die meisten Betroffenen sterben innerhalb von drei Jahren nach der Diagnose.

Um die Behandlungsmöglichkeiten zu verbessern, haben Forschende am NCT Heidelberg und am DKFZ eine umfassende molekulare Analyse bei 30 Patientinnen und Patienten mit DSRCT durchgeführt, die am DKFZ/NCT/DKTK MASTER-Programm teilgenommen haben. Die breite molekulare Untersuchung ermöglichte es, 28 von 30 Teilnehmenden mindestens eine auf ihre Erkrankung zugeschnittene Therapie zu empfehlen, die bei 13 Teilnehmenden auch umgesetzt wurde. Wichtig hierbei: Es wurden auch Daten zum Ansprechen auf die individuell empfohlenen Therapien gesammelt und ausgewertet.

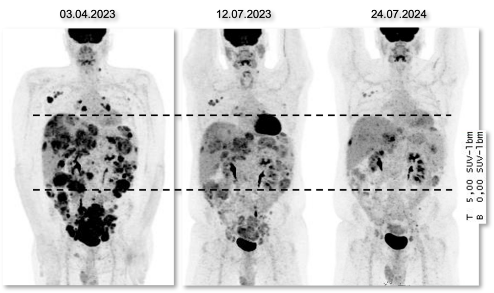
Bemerkenswert ist, dass die Forschenden im Tumorgewebe häufig Proteine nachweisen konnten, die mit neuartigen, zielgerichteten Therapien adressiert werden können, insbesondere mit Antikörper-Wirkstoff-Konjugaten (ADC) oder mit therapeutischen Immunzellen, den CAR-T-Zellen. Mit einem ADC der jüngsten Generation, Trastuzumab Deruxtecan, wurde bei zwei Betroffenen eine ungewöhnlich lange anhaltende Tumorkontrolle erreicht, in einem Fall über zwei Jahre. Zusätzlich ergab die Studie, dass die Tumoren in acht von 30 Fällen erst durch die molekulare Analyse vollkommen richtig diagnostiziert werden konnten.

Małgorzata Oleś, Bioinformatikerin in der Computational Oncology Group am NCT Heidelberg ist eine der Erstautorinnen der Studie. Sie sagt: „Unsere Arbeit unterstreicht das Potenzial einer breiten molekularen Diagnostik, um wiederkehrende Therapieziele zu identifizieren, speziell für Patientinnen und Patienten mit seltenen Tumorarten.“ 

Stefan Fröhling, Geschäftsführender Direktor am NCT Heidelberg und Leiter der Abteilung Translationale Medizinische Onkologie am DKFZ, ergänzt: „Bei dieser Krebsart sind Fortschritte besonders wichtig, weil die Betroffenen oft sehr jung sind und wir dringend bessere Therapiemöglichkeiten benötigen, die wir ihnen anbieten können.“

Die Studie zeigt außerdem, dass eine breite internationale Zusammenarbeit zwischen Institutionen, insbesondere bei seltenen Tumoren, wichtig ist und wertvolle Einsichten zum Nutzen der Patientinnen und Patienten liefern kann. Im Rahmen der vorliegenden Studie wurden zwei der besonders erfolgreichen Therapien am Centre Hospitalier de Luxembourg durchgeführt. Stefan Fröhling sagt: „Wir erleben, dass unsere Zusammenarbeit und nachhaltige strategische Partnerschaft mit anderen Zentren in Deutschland und darüber hinaus besonders wichtig sind, um bei Patientinnen und Patienten mit seltenen Krebsarten neue Behandlungsoptionen zu schaffen.“

Publikation:

Marcus Renner, Małgorzata Oleś, Nagarajan Paramasivam, Christoph E. Heilig, Annika Schneider, Caroline Modugno, Catherine Herremans, Jennifer Hüllein, Barbara Hutter, Cihan Erkut, Andreas Mock, Eva Krieghoff-Henning, Cecilia B. Jensen, Amirhossein Sakhteman, Matthew The, Tony Prinz, Panna Lajer, Annika Baude-Müller, Katja Beck, Bettina Beuthien-Baumann, Leonidas Apostolidis, Sebastian Bauer, Melanie Boerries, Christian H. Brandts, Damian T. Rieke, Thomas Kindler, Frederick Klauschen, Klaus Schulze-Osthoff, Richard F. Schlenk, Guy Berchem, Michael Allgäuer, Gunhild Mechtersheimer, Albrecht Stenzinger, Daniel B. Lipka, Matthias Schlesner, Bernhard Kuster, Arne Jahn, Evelin Schröck, Christoph Heining, Maria-Veronica Teleanu, Peter Horak, Simon Kreutzfeldt, Daniel Hübschmann, Wolfgang Hartmann, Hanno Glimm, Stefan Fröhling: Multi-Layered Molecular Profiling Informs the Diagnosis and Targeted Therapy of Desmoplastic Small Round Cell Tumor; Nature Communications, https://doi.org/10.1038/s41467-026-71636-0

Bildbeschreibung: 

PET-Aufnahmen (Positronen-Emissions-Tomografie) eines Patienten zu drei Zeitpunkten zeigen ein sehr gutes Ansprechen auf das ADC Trastuzumab-Deruxtecan, das ungefähr 18 Monate angehalten hat.

 

Kontakt für die Presse:
Dr. Martin Staiger
Nationales Centrum für Tumorerkrankungen (NCT) Heidelberg
Leitung Kommunikation und Veranstaltungen
Im Neuenheimer Feld 460
69120 Heidelberg
Tel.: +49 6221 56-311272
E-Mail: martin.staiger(at)nct-heidelberg.de
www.nct-heidelberg.de

 

Nationales Centrum für Tumorerkrankungen (NCT) Heidelberg
Das Nationale Centrum für Tumorerkrankungen (NCT) Heidelberg ist eine gemeinsame Einrichtung des Deutschen Krebsforschungszentrums (DKFZ), des Universitätsklinikums Heidelberg (UKHD), der Medizinischen Fakultät Heidelberg der Universität Heidelberg und der Thoraxklinik Heidelberg. Ziel des NCT Heidelberg ist es, vielversprechende Ansätze aus der Krebsforschung möglichst schnell in die Klinik zu übertragen und damit den Patientinnen und Patienten zugutekommen zu lassen. Dies gilt sowohl für die Diagnose als auch die Behandlung, in der Nachsorge oder der Prävention. Die Teilnahme an klinischen Studien eröffnet den Zugang zu innovativen Therapien. Das NCT Heidelberg ist somit richtungsweisend, um neue Forschungsergebnisse aus dem Labor in die Klinik zu übertragen. Das NCT Heidelberg, gegründet 2004, ist Teil des NCT mit weiteren Standorten in Berlin, Dresden, SüdWest (Tübingen-Stuttgart/Ulm), WERA (Würzburg, Erlangen, Regensburg, Augsburg) und West (Essen/Köln). 

Deutsches Krebsforschungszentrum (DKFZ)
Das Deutsche Krebsforschungszentrum (DKFZ) ist mit mehr als 3.000 Mitarbeiterinnen und Mitarbeitern die größte biomedizinische Forschungseinrichtung in Deutschland. Wissenschaftlerinnen und Wissenschaftler erforschen im DKFZ, wie Krebs entsteht, erfassen Krebsrisikofaktoren und suchen nach neuen Strategien, die verhindern, dass Menschen an Krebs erkranken. Sie entwickeln neue Methoden, mit denen Tumoren präziser diagnostiziert und Krebspatienten erfolgreicher behandelt werden können. Beim Krebsinformationsdienst (KID) des DKFZ erhalten Betroffene, Interessierte und Fachkreise individuelle Antworten auf alle Fragen zum Thema Krebs.

Um vielversprechende Ansätze aus der Krebsforschung in die Klinik zu übertragen und so die Chancen von Patientinnen und Patienten zu verbessern, betreibt das DKFZ gemeinsam mit exzellenten Universitätskliniken und Forschungseinrichtungen in ganz Deutschland Translationszentren:

• Nationales Centrum für Tumorerkrankungen (NCT, 6 Standorte)
• Deutsches Konsortium für Translationale Krebsforschung (DKTK, 8 Standorte)
• Hopp-Kindertumorzentrum (KiTZ) Heidelberg
• Helmholtz-Institut für translationale Onkologie (HI-TRON) Mainz – ein Helmholtz-Institut des DKFZ
• DKFZ-Hector Krebsinstitut an der Universitätsmedizin Mannheim
• Nationales Krebspräventionszentrum (gemeinsam mit der Deutschen Krebshilfe)

Das DKFZ wird zu 90 Prozent vom Bundesministerium für Forschung, Technologie und Raumfahrt und zu 10 Prozent vom Land Baden-Württemberg finanziert und ist Mitglied in der Helmholtz-Gemeinschaft Deutscher Forschungszentren.

Universitätsklinikum und Medizinische Fakultät Heidelberg: Krankenversorgung, Forschung und Lehre von internationalem Rang
Das Universitätsklinikum Heidelberg (UKHD) ist eines der bedeutendsten medizinischen Zentren in Deutschland; die Medizinische Fakultät Heidelberg der Universität Heidelberg zählt zu den international renommierten biomedizinischen Forschungseinrichtungen in Europa. Gemeinsames Ziel ist die Entwicklung innovativer Diagnostik und Therapien sowie ihre rasche Umsetzung für Patientinnen und Patienten. Klinikum und Fakultät beschäftigen rund 14.500 Mitarbeiterinnen und Mitarbeiter und engagieren sich in Ausbildung und Qualifizierung. In mehr als 50 klinischen Fachabteilungen mit rund 2.500 Betten werden jährlich circa 86.000 Patientinnen und Patienten voll- und teilstationär und mehr als 1.100.000 Patientinnen und Patienten ambulant behandelt.

Gemeinsam mit dem Deutschen Krebsforschungszentrum (DKFZ) und der Deutschen Krebshilfe (DKH) hat das UKHD das erste Nationale Centrum für Tumorerkrankungen (NCT) in Heidelberg etabliert. Ziel ist die Versorgung auf höchstem Niveau als onkologisches Spitzenzentrum und der schnelle Transfer vielversprechender Ansätze aus der Krebsforschung in die Klinik. Zudem betreibt das UKHD gemeinsam mit dem DKFZ und der Universität Heidelberg das Hopp Kindertumorzentrum Heidelberg (KiTZ), ein deutschlandweit einzigartiges Therapie- und Forschungszentrum für onkologische und hämatologische Erkrankungen im Kindes- und Jugendalter.

Das Heidelberger Curriculum Medicinale (HeiCuMed) steht an der Spitze der medizinischen Ausbildungsgänge in Deutschland. Derzeit befinden sich an der Medizinischen Fakultät Heidelberg (MFHD) rund 4.000 angehende Ärztinnen und Ärzte in Studium und Promotion.